Trong hành trình chăm sóc nụ cười, chúng ta thường quá tập trung vào độ trắng của răng mà quên mất “nền móng” quan trọng nhất: Nướu (lợi). Nướu khỏe mạnh là bệ đỡ vững chắc giúp răng đứng vững. Tuy nhiên, các bệnh lý nha chu thường diễn tiến rất âm thầm, không gây đau đớn dữ dội ở giai đoạn đầu khiến chúng ta chủ quan.
Nếu bạn nhận thấy những thay đổi nhỏ dưới đây, đó chính là lời “kêu cứu” từ nụ cười của bạn. Hãy cùng UCare điểm qua 7 Dấu Hiệu Báo Động Nướu Răng Đang “Kêu Cứu”: Khi Nào Bạn Cần Gặp Nha Sĩ?
1. Chảy máu khi đánh răng hoặc dùng chỉ nha khoa
Đây là dấu hiệu phổ biến nhất của viêm nướu. Nướu khỏe mạnh sẽ không chảy máu khi có tác động cơ học nhẹ. Nếu bạn thấy bồn rửa mặt xuất hiện vệt máu sau mỗi lần vệ sinh, điều đó có nghĩa là vi khuẩn mảng bám đang tấn công, làm mạch máu ở nướu trở nên mỏng manh và dễ vỡ.
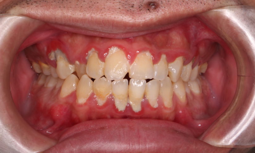
2. Nướu sưng đỏ

Hãy soi gương và quan sát kỹ:
-
Nướu khỏe mạnh: Có màu hồng nhạt, săn chắc và ôm sát vào cổ răng.
-
Nướu “đang bệnh”: Có màu đỏ tươi, đỏ sẫm hoặc hơi tím. Nướu trông phồng lên, che lấp một phần thân răng và có cảm giác mềm nhão khi chạm vào.
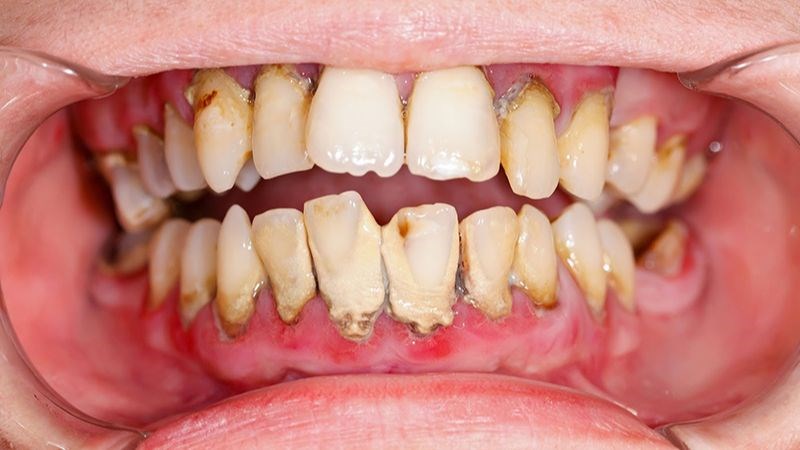
3. Hôi miệng
Dù bạn đã đánh răng kỹ hay súc miệng thường xuyên nhưng hơi thở vẫn có mùi khó chịu? Đó có thể là do vi khuẩn kỵ khí trú ngụ trong các túi nha chu. Chúng phân hủy protein và giải phóng các hợp chất lưu huỳnh gây mùi. Đây là dấu hiệu cho thấy cao răng và vi khuẩn đã tích tụ sâu dưới nướu.
4. Tụt nướu

Bạn cảm thấy răng mình dạo này trông “dài ra”? Thực chất, đó là hiện tượng tụt nướu. Khi vi khuẩn phá hủy mô nướu và xương ổ răng, nướu sẽ co lại, làm lộ phần chân răng. Điều này không chỉ gây mất thẩm mỹ mà còn khiến răng mất đi sự nâng đỡ cần thiết.
5. Răng nhạy cảm, ê buốt
Khi nướu bị tụt hoặc viêm nhiễm, phần chân răng (vốn không có lớp men bảo vệ) sẽ bị lộ ra. Các ống ngà răng tiếp xúc trực tiếp với nhiệt độ nóng hoặc lạnh từ thức ăn, gây ra những cơn ê buốt nhói lên tận óc. Nếu tình trạng ê buốt diễn ra thường xuyên, bạn nên đi kiểm tra nha chu ngay.
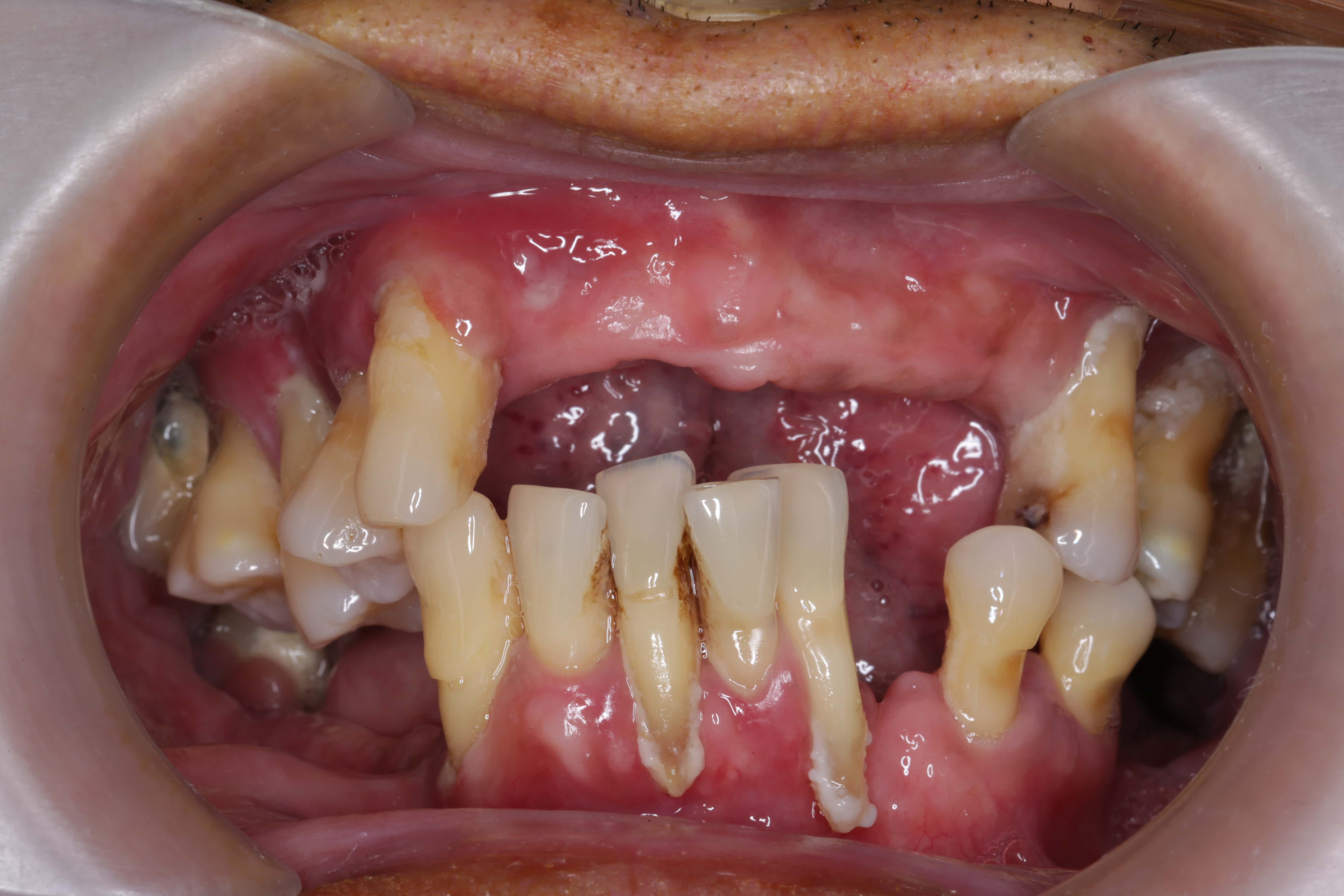
6. Xuất hiện khoảng trống hoặc răng bị lung lay
Đây là dấu hiệu báo động đỏ. Ở giai đoạn viêm nha chu nặng, xương ổ răng bị tiêu biến, khiến răng không còn chỗ bám trụ vững chắc. Bạn có thể cảm thấy răng hơi dịch chuyển khi nhai hoặc các khe răng thưa ra rõ rệt. Nếu không can thiệp kịp thời, nguy cơ mất răng vĩnh viễn là rất cao.
7. Có mủ xuất hiện giữa răng và nướu

Nếu bạn dùng tay ấn nhẹ vào nướu và thấy có dịch mủ trắng hoặc vàng tiết ra, đây là tình trạng nhiễm trùng nghiêm trọng. Nhiễm trùng này có thể gây đau nhức, sốt và cần được bác sĩ xử lý bằng các biện pháp chuyên sâu để tránh áp xe.
KHI NÀO BẠN CẦN GẶP NHA SĨ NGAY LẬP TỨC?
Đừng đợi đến khi đau không ngủ được mới tìm nha sĩ. Bạn cần đặt lịch hẹn ngay nếu:
-
Tình trạng chảy máu nướu kéo dài hơn 1 tuần.
-
Răng bắt đầu có cảm giác lung lay hoặc thay đổi khớp cắn.
-
Có mủ hoặc mùi hôi cực kỳ nghiêm trọng.
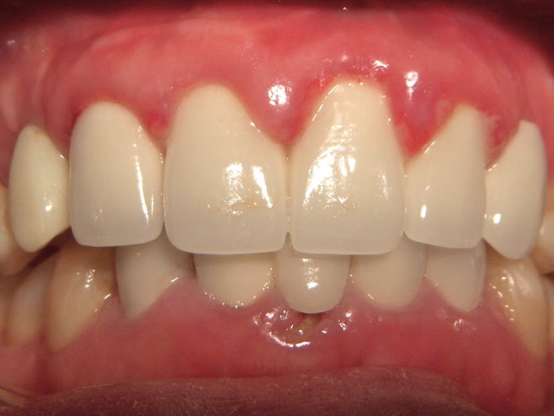
GIẢI PHÁP ĐIỀU TRỊ TẠI UCARE: CÔNG NGHỆ LASER TIÊN TIẾN

Tại Nha khoa UCare, chúng tôi thấu hiểu nỗi sợ đau và sự lo lắng của khách hàng khi gặp vấn đề về nướu. Vì vậy, chúng tôi áp dụng Công nghệ Laser trong điều trị nha chu để mang lại trải nghiệm tối ưu nhất:
-
Không đau, không xâm lấn: Thay vì dùng dao kéo thủ công, tia laser nhẹ nhàng loại bỏ mô viêm và sát khuẩn sâu.
-
Sát khuẩn tuyệt đối: Laser tiêu diệt vi khuẩn tận gốc trong túi nha chu, ngăn ngừa tái phát.
-
Nhanh chóng & An toàn: Thời gian phục hồi nhanh hơn gấp nhiều lần so với phương pháp truyền thống.
[Kết luận]
Nướu răng không biết nói, nhưng chúng luôn gửi đi những tín hiệu. 7 dấu hiệu trên chính là cách nướu cảnh báo về sức khỏe của bạn. Đừng lờ đi những vệt máu nhỏ hay một chút ê buốt, bởi đó có thể là khởi đầu của hành trình mất răng.
Bạn đang gặp phải dấu hiệu nào trong 7 điều trên? Đừng ngần ngại, hãy liên hệ với UCare ngay hôm nay để được thăm khám và tư vấn giải pháp điều trị Laser nhẹ nhàng, giúp bạn lấy lại nụ cười khỏe mạnh!

