Hằng ngày, chúng ta đều dành thời gian chăm sóc nụ cười của mình, nhưng ít ai nhận ra rằng, một “sát thủ thầm lặng” đang âm thầm hoạt động, tấn công sức khỏe răng miệng của chúng ta. Đó chính là mảng bám (plaque) và hậu quả tất yếu của nó – cao răng (tartar). Hai yếu tố này không chỉ đơn thuần gây mất thẩm mỹ mà còn là nguyên nhân cốt lõi, trực tiếp dẫn đến viêm nướu, viêm nha chu và cuối cùng là mất răng.

Việc hiểu rõ cơ chế mảng bám hóa cao răng và cách chúng tạo ra môi trường độc hại để hủy hoại mô nướu và xương là bước đầu tiên để bảo vệ nụ cười. Bài viết này sẽ phân tích chi tiết quá trình từ mảng bám đến cao răng, và chỉ ra những nguy hiểm tiềm ẩn mà chúng mang lại.
I. MẢNG BÁM (PLAQUE): ĐIỂM KHỞI ĐẦU CỦA MỌI VẤN ĐỀ
Mảng bám là gì? Nó là một lớp màng sinh học (biofilm) dính, gần như không màu, hình thành liên tục trên bề mặt răng. Mặc dù vô hình, mảng bám lại chứa một quần thể vi khuẩn khổng lồ, là “nhà máy” sản xuất axit và độc tố gây bệnh.

1. Cơ chế hình thành Mảng Bám
Quá trình hình thành mảng bám diễn ra rất nhanh chóng, thường chỉ vài phút sau khi đánh răng:
-
Giai đoạn 1: Lớp màng Pelicle: Trong vòng vài phút, một lớp màng protein từ nước bọt (gọi là Pelicle) bám vào bề mặt răng.
-
Giai đoạn 2: Bám dính của vi khuẩn: Vi khuẩn tiên phong (chủ yếu là Streptococcus) bám vào lớp Pelicle.
-
Giai đoạn 3: Phát triển và trưởng thành: Các loại vi khuẩn khác (như vi khuẩn kỵ khí gây bệnh nha chu) bắt đầu nhân lên, tạo thành một mạng lưới phức tạp được bao bọc bởi một lớp vật chất dính (matrix).
2. Mảng Bám Gây Hủy Hoại như thế nào?
Vi khuẩn trong mảng bám tấn công răng miệng qua hai cơ chế chính:
-
Sản xuất Axit: Khi chúng tiêu thụ đường và carbohydrate từ thức ăn, chúng tạo ra axit. Axit này làm mòn men răng, dẫn đến sâu răng.
-
Sản xuất Độc tố: Vi khuẩn cũng tiết ra các độc tố (endotoxins) và enzym. Chính những độc tố này gây kích ứng mạnh mẽ các mô mềm xung quanh răng, khởi phát viêm nướu.
II. CAO RĂNG (TARTAR): SẢN PHẨM KHÔNG THỂ LÀM SẠCH TẠI NHÀ
Nếu mảng bám không được loại bỏ triệt để trong vòng 24 đến 72 giờ, quá trình vôi hóa sẽ diễn ra, biến mảng bám mềm thành cao răng cứng.

1. Cơ chế Mảng Bám Hóa Cao Răng
-
Quá trình Vôi hóa: Mảng bám hấp thụ các khoáng chất (chủ yếu là Canxi và Phosphate) từ nước bọt. Sự kết hợp này làm cứng cấu trúc mảng bám, tạo thành cao răng (hay vôi răng).
-
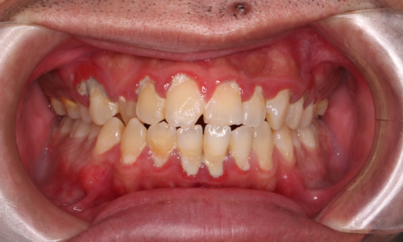
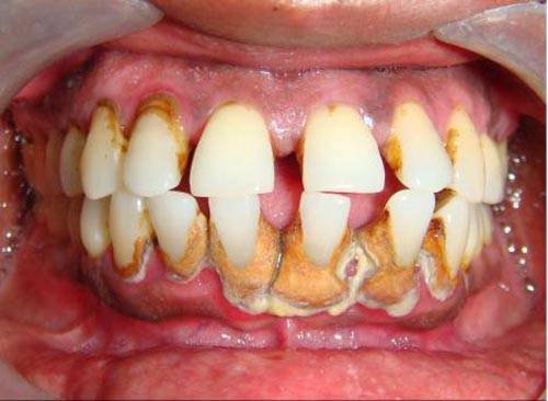
Cao răng Dưới Nướu: Đây là loại cao răng nguy hiểm nhất. Nó hình thành trong túi nha chu sâu dưới đường viền nướm, có màu nâu sẫm hoặc đen, chứa đầy vi khuẩn độc hại.
2. Tác Hại Của Cao Răng – Tạo Môi Trường Độc Hại
Tác hại của cao răng không phải do bản thân nó gây ra, mà là do vai trò của nó như một “bệ phóng” cho mảng bám và vi khuẩn:
-
Tạo Nơi Trú Ẩn Lý Tưởng: Cao răng có bề mặt xốp và thô ráp, hoạt động như một ngôi nhà vĩnh cửu, tạo điều kiện cho mảng bám mới bám vào và phát triển nhanh hơn.
-
Duy trì Viêm Nhiễm: Cao răng dưới nướu giữ chặt vi khuẩn gần mô nướu và xương, duy trì phản ứng viêm nhiễm, làm cho viêm nướu tiến triển thành viêm nha chu.
-
Gây Khó khăn Vệ sinh: Sự hiện diện của cao răng khiến việc đánh răng và dùng chỉ nha khoa trở nên vô hiệu, cản trở việc làm sạch mảng bám mới.
III. HẬU QUẢ NGHIÊM TRỌNG: TỪ VIÊM NƯỚU ĐẾN MẤT RĂNG

Quá trình mảng bám và cao răng gây viêm nha chu là một chuỗi phản ứng hủy hoại nghiêm trọng:
-
Viêm Nướu (Gingivitis): Giai đoạn đầu, nướu đỏ, sưng, dễ chảy máu. Dù có thể hồi phục, nhưng nếu bỏ qua sẽ là tiền đề cho giai đoạn tiếp theo.
-
Viêm Nha Chu (Periodontitis): Vi khuẩn từ cao răng dưới nướu tấn công sâu hơn, phá hủy dây chằng nha chu và tiêu xương ổ răng.
-
Túi Nha Chu Sâu: Nướu tách rời khỏi chân răng tạo thành các túi sâu, nơi vi khuẩn sinh sôi không thể kiểm soát.
-
Mất Răng: Khi xương ổ răng bị tiêu hủy nghiêm trọng, răng sẽ lung lay và cuối cùng là rụng khỏi hàm. Đây là kết quả đau lòng của việc lơ là mảng bám và cao răng.
IV. GIẢI PHÁP TẠI UCARE: TIÊU DIỆT TẬN GỐC SÁT THỦ THẦM LẶNG
Để ngăn chặn mảng bám và cao răng gây hủy hoại, biện pháp duy nhất là loại bỏ chúng hoàn toàn và thường xuyên:
- Vệ Sinh Chuyên Nghiệp: Không thể tự loại bỏ cao răng tại nhà. Cần đến nha sĩ để thực hiện lấy cao răng định kỳ.

2. Công Nghệ Laser Đột Phá: Tại UCare, chúng tôi áp dụng công nghệ Laser để điều trị viêm nha chu. Laser không chỉ giúp loại bỏ cao răng dưới nướu một cách nhẹ nhàng, chính xác mà còn sát khuẩn nướu răng triệt để, tiêu diệt vi khuẩn ở những nơi sâu nhất trong túi nha chu, ngăn ngừa tái phát hiệu quả.

Mảng bám và cao răng là những “sát thủ thầm lặng” làm suy yếu nụ cười của bạn mỗi ngày. Đừng đợi đến khi nhận thấy răng lung lay hay nướu chảy máu nghiêm trọng mới hành động.
Hãy chủ động kiểm soát chúng bằng cách khám răng định kỳ 6 tháng một lần. Liên hệ với UCare ngay hôm nay để loại bỏ cao răng triệt để và được tư vấn về giải pháp điều trị viêm nha chu bằng Laser tiên tiến nhất, bảo vệ nụ cười trọn đời của bạn!
Liên hệ UCare ngay hôm nay để kiểm tra sức khỏe nha chu và bắt đầu hành trình lấy lại nụ cười khỏe mạnh!
Đặt lịch ngay hôm nay để được tư vấn miễn phí!
===

